카페검색 본문
카페글 본문
정확도순
-
[안산예치과] 임플란트 안산고잔동치과 개개인에게 맞는 선택을 2025.10.31해당카페글 미리보기
있었어요. 또한 소실된 치아를 대체함으로써 발음장애 걱정도 잊을 수 있었어요. 하지만 안산고잔동치과 본원에서 임플란트를 하기 위해서는 잇몸상태가 임플란트를 할 수 있을 만큼 남아있어야하고 골이식이나 치주회복치료를 통해서 식립할 정도여야...
-
안산의 많은 분들이 임플란트 치료잘하는 병원으로 미르치과를 선택하십니다. 2016.02.24해당카페글 미리보기
중요합니다. 임플란트 보철 튼튼하고 정교하게 제작해서 반영구적으로 편안하게 사용할수있다면 얼마나 좋을 까요. 안산시...오랜 노하우로 믿음을 드릴것입니다. 안산시 단원구 고잔동 535-2 코스모빌딩 5층. 상담전화 031) 504-2875. 김민수이사 도움...
-
임플란트 잘하는 곳 추천해주세요 2014.06.23해당카페글 미리보기
임플란트는 시술경력이 많은 의사한테 받아야 부작용도 덜하다고 하더라구요. 근데. 치과가 워낙 많아서. 고르지를 못하겠어요. 집은 고잔동 신도시쪽이에요. 경력도 오래되시고..친절하시면서 가격도 괜찮은 착한 치과 아시면 추천부탁드려요
-
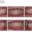
미르치과병원.(치아교정.임플란트 전문병원) 2015.08.10해당카페글 미리보기
미르치과 미르치과병원은 6명의 치과의사가 전문과별로 진료합니다. 고잔동 535-2. 김민수이사.***-****-****.
-
전국 제휴병원, 협력업체 2020.01.23해당카페글 미리보기
수원(인계) 동탄(화성시반송동) 시흥(정왕동) 안산(고잔동) 안산중앙(고잔동) 안성(석정동) 평택(평택동) 파주(동패동) 이천...작전동, 부평동, 부평시장, 논현동 인천 논현동: 65세이하 임플란트(목회자55, 그외65), 금니25 65세이상 임플란트 10만, 의료...