카페검색 본문
카페글 본문
-
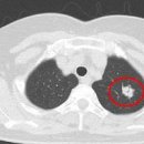
폐결절이 우연히 발견되었을 때, 추적관찰 및 조직검사 원칙 2025.11.22해당카페글 미리보기
폐결절이 우연히 발견되었을 때, 추적관찰 및 조직검사 원칙 수목부천병원 제공 폐결절이 우연히 발견되었을 때, 모든 폐결절이 암을 의미하는 것은 아닙니다. 폐결절의 대부분은 양성 결절이지만, 폐암의 초기 병변일 가능성도 있으므로 정확한 감별과...
-
뼈전이된 일부 암,폐결절 2025.09.06해당카페글 미리보기
체험시작으로 다른거 다 끊고 첨부터 메가도스 현재도 15미리 음용중 저번주 결과 보고 오셨는데 전이된게 없었졌답니다!! 폐결절도 있으시다 했는데 4군데 다 사이즈가 다 줄었다고 순간 저 울컥 눈물이;;; 결과가 안좋게 나와도 시간이 더 필요한거니 몇...
-
3기 a 수술 6개월차 검진에서 폐결절 2개 2025.03.20해당카페글 미리보기
수술 전에도 폐결절이 5mm 1개, 다른 더 작은거 1개정도 있었는데, 수술 하고 나서 키트루다 예방 항암중 3개월 차 검진에서 다 사라졌다고 했어요. 그리고 어제 6개월 차 검진에서 복부 ct를 찍었는데 폐 아랫 부분에 0.8cm 1개, 2.5mm 한 개 총 2개가 더...
-
폐결절 진단 그후(40대중반 비흡연 여) 2025.02.26해당카페글 미리보기
작년 폐결절 진단 후 걱정이 많았습니다. 크기가 커지는지 여부가 수술을 결정하는 중요한 증거이기에 두번의 시티를 추가로 찍었어요 약3개월 간격으로요 만약 크기 변화없으면 거의 양성이고 선천적으로 가지고 있었을 확률이 크다고 했습니다. 그런데...
-
폐결절 바로알기 - 폐결절이 폐암일 확률은? / 국제성모병원 호흡기내과 정재호 2025.05.04해당카페글 미리보기
-
고립성 다발성 폐결절 증상 섬유화 좋은 음식 2025.01.22해당카페글 미리보기
고립성 다발성 폐결절 과 섬유화에 좋은 음식에 대해 알아보겠습니다. 고립성 다발성 폐결절이란? 폐에 3cm 이하의 작은 혹들이 여러 개 생기는 입니다. 한 원인은 아직 밝혀지지 않았지만, 흡연, 환경오염, 만성 염증 등이 원인으로 지목됩니다. : 대부분...
-
폐암의 경고 신호? 폐결절 증상 및 원인과 치료 방법 고립성 폐결절 2025.03.21해당카페글 미리보기
폐암의 경고 신호, 폐결절: 자세히 알아보기 폐암은 조기에 발견하면 가 좋은 암 중 하나입니다. 하지만 초기에는 특별한 이 없어 간과하기 쉽습니다. 폐암의 가장 흔한 초기 중 하나가 바로 폐결절입니다. 폐결절이란 무엇일까요? 폐결절은 폐 안에 생긴...
-
고립성 폐결절 및 (흉부 전선량 폐 CT) 2025.03.22해당카페글 미리보기
고립성 폐결절 및 흉부 전선량 폐 CT에 대한 와 설명 고립성 폐결절이란 폐 안에 혼자 떨어져 있는 작은 혹이나 덩어리를 말합니다. 크기가 작아 이 없는 경우가 많아 건강검진에서 우연히 발견되는 경우가 많습니다. 흉부 전선량 폐 CT는 폐에 대한...
-
신장암 1 기 폐결절 2024.10.31해당카페글 미리보기
23년 12월 3cm 신장암1기 부분절제 하고 잘 지내던중 24년 9월 종합검진에서 작은 고형 폐결절이 발견되어서 어떻할지 고민하다가 수술한 분서대병원에 예약후 다녀왔습니다. 예전 폐사진과 비교도할겸.. 비뇨기과 교수님께 보여드렸는데.. 작아서 찾지도...
-
폐결절 문제 없었네요 2024.08.19해당카페글 미리보기
운영진의 모니터링을 통해 무통보 이동 있을 수 있음 폐결절 당뇨전단계 역류성식도염 등 폐결절 검사만 잘 넘어가면 체중관리하겠다 식단관리하겠다. 정말 건강 챙겨야겠다. 결심했어요. 오늘꿈도 범죄자를 내눈앞에서 본 무서운꿈을 꿔서(요즘 더...