카페검색 본문
카페글 본문
-
피부조직검사 하고 수술가능한 병원추천이요 2025.07.17해당카페글 미리보기
올해 더 커지고튀어올라서 봐달라니 조직검사해보라며 자기네는 안된다 했다네요 소견서들고 부산대병원 초진접수하는데 거기서 자기네들 검사안된다면서 다른병원 가서 하라며 접수 안해주더래요 피부조직검사하고 수술까지 가능한 병원 소개좀 해주세요
-
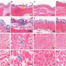
칼상어를 저산소 또는 산소 재공급 후의 피부, 근육 및 아가미의 조직학적 변화. 2025.09.11해당카페글 미리보기
그림 . 칼상어를 저산소 또는 산소 재공급 후의 피부, 근육 및 아가미의 조직학적 변화. A-D: 피부. 저배율. I-L: 근육 저배율. M-P: 근육 고배율. A, E, I, M: 대조군. B, F, J, N: 저산소 노출 그룹. C, G, K, O: 재산소 공급 6시간 후. D, H, L. P...
-
피부 건조, 당김현상 이런 관리를 추천합니다. 2025.11.04해당카페글 미리보기
시켜 산화된 피부 PH발란스를 맞춰주고 2제클린미스트(하양이)는 진정과 수렴작용, 모공수축 효과로 느슨하게 늘어진 피부조직을 쫀쫀하게 밀착시켜 처진피부가 올라붙은 효과를 볼 수 있습니다. https://inflow.pay.naver.com/rd?no=200133546&pType=P...
-
탄력 고민 있어 선택한 에버콜라겐, 피부 속부터 관리한 솔직 후기 2025.12.11해당카페글 미리보기
계속 눈에 들어오더라구요? 쉽게 말하면 피부는 겉만 반짝여 보인다고 다가 아니라는 뜻이잖아요~ 정말 중요한 건 피부 속 콜라겐 조직 밀도인데, 이걸 탄탄하게 잡아줘야 결도 매끄럽게 보이고 화장이 잘 받는다고 해서 관심이 갔어요. 사실 피부 속은...
-
석고, 알레르기성 피부질환에 효과 백호탕·마감행석탕 등 활용 2025.12.02해당카페글 미리보기
피부관련 논문이다. 석고제 중에 흔히 호흡기 질환에 적용하는 방제 마행감석탕(麻杏甘石湯)도 피부질환에 응용하는데 병독이 조직을 파괴하면서 피부에 덩어리 모양의 반점 또는 점 모양의 두드러기를 생성하는 증상에 응용한다. - 예: 아이가 숨이 차고...
-
피부 조기 노화를 예방하기 2025.11.06해당카페글 미리보기
것이다. 각질 제거를 하면 모공을 청소하고, 블랙헤드나 여드름이 생기는 것을 예방할 수 있다. 각질 제거제에는 피부에 흡수 되어 조직을 재생 해주는 비타민과 무기질도 함유되어 있다. 산소 공급을 향상시켜 혈액 순환을 개선하며, 조직을 건강하게...
-
[로킷헬스케어] ■■세계 최초 AI기반 관절 연골 재생 임상 시작-피부암 재생 성공-25조 시장 게임체인저 2025.09.21해당카페글 미리보기
AI 피부암 재생치료’에 성공…"일본서 진행한 임상에서 성공 발표 고령 피부암 환자에게 AI 재생치료만으로 4주 만에 정상 피부조직 완전히 재건 성공 AI 재생치료 기술은 기존 상처 수술 중심 치료에서 ‘재생 중심’으로의 혁신적 전환을 이끄는 게임...
-
피부 병변이 ‘암’에 해당하는지 여부[ 균상식육종(mycosis fungoides)으로 진단] 2025.09.13해당카페글 미리보기
소견을 보이는 것으로 판단된다고 의견을 제시하였다. 3) H협회 의료감정원 소속 진료기록 감정의는 이 사건 피부 병변에 관한 조직 슬라이드 현미경 판독을 통해 '진피표피 경계부위와 상부진피 혈관 주변에 크기가 작은 림프구 침윤이 관찰되며, 일부...
-
요즘 유독 피부 푸석하고 머리까지 빠진다면 ‘이 영양소’ 부족한 지 체크를. 2025.11.29해당카페글 미리보기
클립아트코리아 건강을 위해서는 매일 충분한 양의 단백질을 섭취해야 한다. 단백질은 우리 몸에서 근육·피부·뼈·손톱·머리카락 등 신체조직과 호르몬·항체·효소의 구성 성분이 되며, 체내 필수 영양 성분과 활성 물질이 운반·저장되도록 돕는다...
-
"피부 노화에 가장 좋은 음식 1위" 의외인걸? '그라스페드 간' 2025.08.16해당카페글 미리보기
피부 탄력을 유지하고 상처 치유와 재생에 필수적인 미네랄입니다. 철분(Iron): 혈액 건강을 도와 산소를 피부 조직에 충분히 공급해 피부 건강을 촉진합니다. 다양한 코팩터와 영양소: 피부를 젊고 생기 있게 유지하기 위한 모든 필수 영양소가 들어있어...